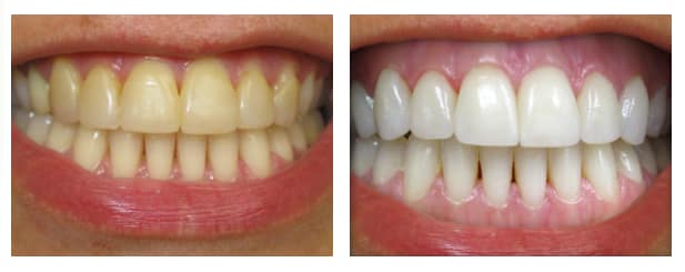
Having noticeably white teeth has become a new trend. It definitely contributes to a beautiful smile. So often people don’t like to smile because their embarrassed of how their teeth look. If it’s the color then bleaching is a good choice. When I was working in the dental field , we would associate extremely white teeth looking like dentures. Now it’s the whiter, the better. When bleaching your teeth, there are three options. The first is, if you don’t mind the time and your satisfied with a moderate improvement that is not as strong, fast or costly, then choosing an over the counter kit is a good alternative. There’s a variety to choose from such as strips, led light accelerators, whitening trays and pens. Some are pricier than others. Keep in mind that these home kits may irritate the gums. They should not be used by people who have braces, children under twelve, pregnant or nursing women. There are also kits for people with sensitive teeth like myself. And they do work. When I do bleach my teeth which is not not often, I do still find myself to be a tad bit sensitive so after brushing them, I will rinse with flouride before bleaching. I don’t like to do them often in fear of damaging the enamel. When choosing these kits, make sure to follow the directions. The second option is the cheapest and consists of natural remedies like baking soda, hydrogen peroxide and charcoal toothpaste etc.. The third option is the fastest way to whiten teeth and this is at the dentist. It’s a bit more expensive and it entails an appointment where the professional teeth whitening process occurs. You start by going for a consultation. Then they will use a shade guide and show you how many shades lighter you can expect your teeth to whiten. This process can take between 30-60 minutes. This is pricey procedure that my cost between $600-$1,000 but you do get what you pay for. It can last about six months or more depending upon your food intake. You will need to avoid coffee, tea and wine or they will get stained sooner.
Keep in mind whether you choose the professional or the home kits, it does not whiten fillings, crowns and veneers which means the dental work will not match the bleached natural teeth. I hope you found this article informative and gives a reason to smile.























































































































































